Primary Diffuse Leptomeningeal Giloneuronal Tumor
Primary diffuse leptomeningeal glioneuronal tumors DLGNT are rare tumors recently recognized as a unique entity based on their unique pathologic and clinical characteristics. They are strongly associated with seizures.

Diffuse Leptomeningeal Glioneuronal Tumors Dlgnt At Autopsy This Download Scientific Diagram
Report of three cases and review of literature.

Primary diffuse leptomeningeal giloneuronal tumor. 20 reported a case of Department of Pathology Seoul National University Hospital neurocytoma-like neoplasm of the thoracic spine with diffuse College of Medicine. Diffuse leptomeningeal glioneuronal tumor DL-GNT is a newly defined neuronal and mixed neuronal-glial tumor described in the 2016 World Health Organization WHO classification of brain tumors. These tumors affect infants children and young adults but are also described in adults and the elderly. Chenue Abongwa Jennifer Cotter Benita Tamrazi Girish Dhall Tom Davidson Ashley Margol Primary diffuse leptomeningeal glioneuronal tumors of the central nervous system. Most patients with this disease share common radiological and histopathological features but the clinical course of this disease is variable. The complete neuroimaging spectrum and histopathological characteristics of this entity are yet to be elucidated.
Like leptomeningeal tumor of childhood is a primary CNS tumor characterized by diffuse leptomeningeal dissemina-tion of neoplastic glioneuronal cells. Diffuse leptomeningeal glioneuronal tumours DLGNT represent rare enigmatic CNS tumours of childhood. Glioneuronal tumors are a group of rare neoplasms made up of neural and glial components in heterogenous proportions generally exhibiting WHO grade I clinical behavior. Despite its indolent progression it can rarely present itself as an isolated parenchymal lesion and the morbidity and mortality rates are frequently high45 Sometimes its behavior can be more. 1 This entity has previously been described as disseminated oligodendroglial-like leptomeningeal tumor dysembryoplastic neuroepithelial tumor-like. 24in 1996 following which Psarros et al.
Histologically the tumors are composed of sheets of monotonous rounded cells. Histologically the tumors are composed of sheets of monotonous rounded cells. Up to 10 cash back Diffuse leptomeningeal glioneuronal tumor DLGNT is a newly established type of glioneuronal and neuronal tumors in the 2021 WHO classification of tumors of the central nervous system On imaging diffuse leptomeningeal enhancement is commonly seen especially in the basal cisterns posterior fossa and on the surface of the. Primary diffuse leptomeningeal glioneuronal tumors Hwa Jin Cho Jae Kyung Myung Hannah Kim Chul Kee Park Sung Ki Kim Chun Kee Chung Seung Hong Choi Sung Hye Park Genomic Medicine Institute. Epub 2020 Jan 17. Diffuse leptomeningeal glioneuronal tumor is an indolent low grade neuroepithelial neoplasm that typically shows widespread leptomeningeal and superficial parenchymal CNS dissemination and oligodendroglioma-like cytology.
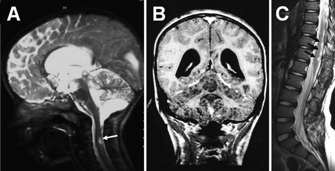
Diffuse leptomeningeal disseminated glioneuronal tumor DL-GNT is a rare brain tumor that presents as a plaque-like subarachnoid tumor commonly involving the basal cisterns and interhemispheric fissure of children but lacking intraparenchymal tumor. Report of three cases and review of literature Pediatric Hematology and Oncology 1010800888001820191711270 1-11 2020. Primary diffuse leptomeningeal glioneuronal tumors of the central nervous system. Diffuse leptomeningeal glioneuronal tumor DLGNT has been recently described in the literature. In an endemic region diffuse leptomeningeal enhancement on neuroimaging with associated communicating hydrocephalus is usually suggestive of infective. Diffuse leptomeningeal disseminated glioneuronal tumor DL-GNT is a rare brain tumor that presents as a plaque-like subarachnoid tumor commonly involving the basal cisterns and interhemispheric fissure of children but lacking intraparenchymal tumor.
A radiological hallmark of this disease is widespread leptomeningeal enhancement that may involve the. Diffuse leptomeningeal glioneuronal tumor DL-GNT is a new entity described in the 2016 World Health Organization WHO classification of brain tumors. 4 Abongwa C Cotter J Tamrazi B Dhall G Davidson T Margol A. Diffuse leptomeningeal disseminated glioneuronal tumor DL-GNT is a rare brain tumor that presents as a plaque-like subarachnoid tumor commonly involving the basal cisterns and interhemispheric fissure of children but lacking intraparenchymal tumor. Histologically the tumors are composed of sheets of monotonous. Diffuse leptomeningeal glioneuronal tumor DL-GNT is a rare brain tumor that presents as a plaque-like subarachnoid tumor commonly involving the basal cisterns and interhemispheric fissure of children but lacking intraparenchymal tumor.
While DL-GNT is predominantly an indolent tumor that affects young boys high-grade DL-GNT is unusual and seldom reported in children. Developed by renowned radiologists in each specialty STATdx provides comprehensive decision support you can rely on - Diffuse Leptomeningeal Glioneuronal Tumor. Diffuse leptomeningeal glioneuronal tumors DL-GNT were described in a case report by Yamamoto et al. The patient Diffuse leptomeningeal glioneuronal tumors DL-GNT were described in a case report by Yamamoto et al. Park 1996 following which Psarros et al. Primary diffuse leptomeningeal gliomatosis PDLG is a rare fatal neoplastic condition of infiltrating glial cells into the meninges without evidence of.
20 reported a case of. Diffuse leptomeningeal disseminated glioneuronal tumor DL-GNT is a rare brain tumor that presents as a plaque-like subarachnoid tumor commonly involving the basal cisterns and interhemispheric fissure of children but lacking intraparenchymal tumor. Up to 10 cash back Abstract. We report three cases of DLGNT and compare their clinical characteristics and presentation with other reported cases and with primary leptomeningeal gliomatosis.

Pdf A Case Of Diffuse Leptomeningeal Glioneuronal Tumor Misdiagnosed As Chronic Tuberculous Meningitis Without Brain Biopsy Semantic Scholar
Diffuse Leptomeningeal Glioneuronal Tumor Of Childhood American Journal Of Neuroradiology
Diffuse Leptomeningeal Glioneuronal Tumor Of Childhood American Journal Of Neuroradiology

Characteristics Of Diffuse Leptomeningeal Glioneuronal Tumor With First Episode Headache And Rapid Blindness Misdiagnosed As Viral Meningoencephalitis Bao Journal Of Medical Cases

Figure 1 From Primary Diffuse Leptomeningeal Glioneuronal Tumors Semantic Scholar

A B Contrast Enhanced T1wis Case 1 Revealed Leptomeningeal Download Scientific Diagram
Diffuse Leptomeningeal Glioneuronal Tumor Of Childhood American Journal Of Neuroradiology

Diffuse Leptomeningeal Glioneuronal Tumor A Unique Leptomeningeal Tumor Entity Sciencedirect

Diffuse Leptomeningeal Glioneuronal Tumors Histology Is It A New Entity Springerlink

Figure 1 From Diffuse Leptomeningeal Glioneuronal Tumor Dlgnt Mimicking Whipple S Disease A Case Report And Literature Review Semantic Scholar
Diffuse Leptomeningeal Glioneuronal Tumor Of Childhood American Journal Of Neuroradiology

Diffuse Leptomeningeal Glioneuronal Tumour Radiology Reference Article Radiopaedia Org

Pdf Anaplastic Diffuse Leptomeningeal Glioneuronal Tumor Associated With H3 K27m Mutation

Pdf Diffuse Leptomeningeal Glioneuronal Tumours Clinico Pathological Follow Up
Posting Komentar untuk "Primary Diffuse Leptomeningeal Giloneuronal Tumor"